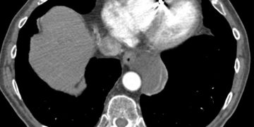
Yemek Borusu Duplikasyonu, gerçek yemek borusu yanında ve onunla ilişkili kistik tüp şeklinde ki yapının oluşması durumudur. İçersinde hücresel atıklar ...
Read moreDetails![]()
VetRehberi, Veteriner Hekimlik mesleği, hayvan sağlığı, hayvan hastalıkları, hayvan beslenmesi, hayvan ırkları, ebooks, sözlük, veteriner ilaçlar, yaban hayatı hakkında içerik yayınlayan ve soru-cevap ile hayvanlarınızın sorunlarına cevap veren bilgi platformudur.
