Sığırcılık Sektöründe Geleceğin Veteriner Hekimleri
Sığırcılık sektöründe geleceğin veteriner hekimleri çoğunlukla bilgisayar ve elektronik teknolojilerinden yararlanacaklar. Sadece veteriner hekimler için değil herkes için geçerli olan,...
Sığırcılık sektöründe geleceğin veteriner hekimleri çoğunlukla bilgisayar ve elektronik teknolojilerinden yararlanacaklar. Sadece veteriner hekimler için değil herkes için geçerli olan,...
Sürü yönetimi bildiğimiz konuların sırayla ve belli bir disiplinle yapılmasından ibarettir. Amaç kazançlı ve sağlıklı, ortalama ömrü uzun bir sürü...
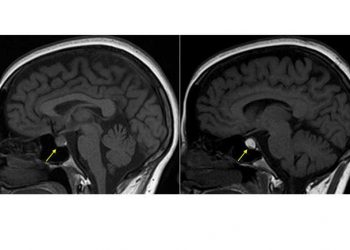
Apopleksi, beyin damarlarından birinde ani yırtılma sonucu veya tıkanma sonucu gelişen bilinç kaybı ve felç oluşumuyla belirgin tabloya denir. Apoplexy
Collie ya da diğer bir isimle İşkoç çoban köpeği, hızı ve zarafeti birleştiren aktif, kıvrak, güçlü bir köpek ırkıdır. Yürüyüşleri,...
Mikotoksin tehdidinin kavranması etkin bir çözümün anahtarıdır. Son yıllarda yemdeki mikotoksinlerin kanatlı sağlığı ve performası üzerine giderek artan ciddi bir...
Sığırlarda topallık işletmelerin en büyük dertlerinden biridir. Topallık aynı zamanda başka problemlerin habercisi ya da işbirlikçisi de olabilir. Sığırlarda topallık...
VBR Coli Sera+C Enjeksiyonluk Süspansiyon Escherichia coli ve Clostridium perfringens Tip C Enfeksiyonlarına Karşı İnaktif Aşı Sadece Hayvan Sağlığında Kullanılır...
Hayvancılıktaki ithalatın yetiştiricilik ve sağlık boyutu. Türkiye Cumhuriyeti 1980 yılından önce Dünyadaki birçok ülkeye yüz milyonlarca dolarlık canlı hayvan, karkas...
VBR K99 E.Coli Enjeksiyonluk Süspansiyon Escherichia coli K99/ F41/ F17 Suşlarının Enfeksiyonlarına Karşı İnaktif Aşı Sadece Hayvan Sağlığında Kullanılır Kompozisyonu:...
VBR Pastomix 3 Enjeksiyonluk Süspansiyon Pasteurellozis Enfeksiyonlarına Karşı İnaktif Aşı Sadece Hayvan Sağlığında Kullanılır AKTİF VE YARDIMCI MADDELER Pasteurella multocida ...
© 2025 VetRehberi.com – 12.12.2016
Beşeri hekimlik insan içinse Veteriner Hekimlik insanlık içindir...