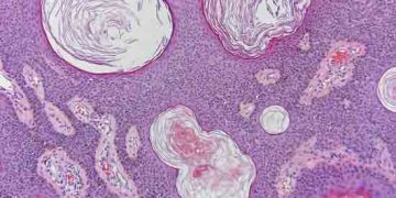
Yalancı Boynuz Kistleri, hiperplastik ve hiperkeratotik epidermisin iç içe geçmesi sonucu oluşan kist benzeri yapılar. Hiperplastik veya neoplastik epidermis dermatozislerinde ...
Read moreDetailsVetRehberi, Veteriner Hekimlik mesleği, hayvan sağlığı, hayvan hastalıkları, hayvan beslenmesi, hayvan ırkları, ebooks, sözlük, veteriner ilaçlar, yaban hayatı hakkında içerik yayınlayan ve soru-cevap ile hayvanlarınızın sorunlarına cevap veren bilgi platformudur.
