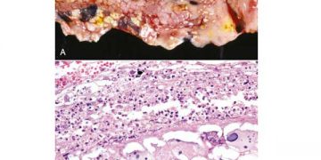
Yağ Dejenerasyonu, karaciğer, böbrek ve kalp başta olmak üzere organ ve dokuların hücre sitoplazmalarında, aşırı miktarda ki yağ maddelerinin birikmesiyle ...
Read moreDetailsVetRehberi, Veteriner Hekimlik mesleği, hayvan sağlığı, hayvan hastalıkları, hayvan beslenmesi, hayvan ırkları, ebooks, sözlük, veteriner ilaçlar, yaban hayatı hakkında içerik yayınlayan ve soru-cevap ile hayvanlarınızın sorunlarına cevap veren bilgi platformudur.









