Zootekni Veteriner Hekimlerin İşi Değil mi?
Zootekni Veteriner Hekimlerin İşi Değil mi?. Türkiye’de 1933 yılında İstanbul Üniversitesinden sonra ikinci yüksek öğretim kurumu olan Yüksek Ziraat Enstitüsü...
Zootekni Veteriner Hekimlerin İşi Değil mi?. Türkiye’de 1933 yılında İstanbul Üniversitesinden sonra ikinci yüksek öğretim kurumu olan Yüksek Ziraat Enstitüsü...
Evcil Kuşların Beslenmesi; Yem Değişikliği, Sağlıklı Beslenme Programına Geçiş, bilindiği üzere kuşların sağlıklı ve aktif olamaları için dengeli, sağlıklı gıdalarla...
Sığırlarda Kanlı Bağırsak Hastalığı / Sendromu (HBS=Hemorrhagic Bowel Syndrome), Jejunal hemorrhage syndrome (JHS) veya Ölü Bağırsak olarak adlandırılmaktadır. Hemorajik bağırsak...
Veteriner Klinik Epidemiyolojisi: Hastadan Nüfusa, 4.Baskı. Veteriner öğrencileri, sakinleri ve klinisyenleri için ideal olan bu çok satan ders kitabının dördüncü...
Kedi tırmalama hastalığı (Cat Scratch Disease - CSD), etkeni Bartonella henselae olup küçük, gram (-) yapıya sahip olan bakteri, bulaştığı...
Vet-Yzdiclo Enjeksiyonluk Çözelti Non-steroid Antienflamatuar Sadece Hayvan Sağlığında Kullanılır Bileşimi: VET-Yzdiclo enjeksiyonluk çözelti berrak, renksiz veya soluk sarı renkte bir...
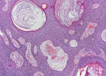
Yalancı Boynuz Kistleri, hiperplastik ve hiperkeratotik epidermisin iç içe geçmesi sonucu oluşan kist benzeri yapılar. Hiperplastik veya neoplastik epidermis dermatozislerinde...
Oğlaklarda bulaşıcı ektima hastalığı diğer adı ile Ecthyma contagiosa ovis et capri burun ucu, dudaklar ve ayaklarda, bazen de erişkin keçilerin memelerinde kabuklu...
Yalancı Çiçek, meme derisinde görülen çiçek benzeri lezyonların biçimlendiği viral bir hastalığa denir. Yalancı çiçekteki kabarcıklar gerçek çiçeğin kabarcıklardan ortasında...
Sığırlarda nitrat zehirlenmeleri. Sığırlar normal miktarda nitratı sindiren ve proteine çevirebilen hayvanlardır. Geviş getirenlerin işkembesinde bulunan bakteriler nitratı nitrite, sonra...
© 2026 VetRehberi.com – 12.12.2016
Beşeri hekimlik insan içinse Veteriner Hekimlik insanlık içindir...