Tavuklarda Bağırsak Virüslerinin Etkileri
Tavuklarda bağırsak virüslerinin etkileri, bağırsak sağlığı karmaşık bir meseledir. Tavuk bağırsağı ekseri aynı anda birden fazla bağırsak virüs türü ile...
Tavuklarda bağırsak virüslerinin etkileri, bağırsak sağlığı karmaşık bir meseledir. Tavuk bağırsağı ekseri aynı anda birden fazla bağırsak virüs türü ile...
Unutturulan bir hayvancılık dalı Koyunculuk şimdiye değin çeşitli dergi ve gazetelere yazdığım 120 civarındaki yazının tümünde de genel hayvancılığın ve...
Wolff Chaikoff Etki, kanda iyot dozunun artmasına karşılık tiroit bezinde iyodun organikleşmesinin ve tiroksin üretiminin azalmasına neden olan mekanizmaya denir....
Kuru ve temiz, hayvancılıkta, özellikle süt sığırcılığında iki anahtar kelimedir. Kurumuş değilse, temiz değildir. İncelendiğinde görülecektir ki; “kuru ve temiz”...
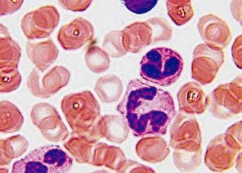
Wright Boyası, kan yaymalarında hücrelerin boyanması için kullanılan bir çeşit boyaya denir. Eozin ve metilen mavisi karışımından oluşan kanın biçimli...
Bağırsak sağlığında fırsatlar ve sorunlar. Sürdürülebilir hayvansal üretim için optimal gastrointestinal sağlık ve işlevsellik önemlidir. Etkin işlevsellik (yemlerin sindirimi, emilmesi)...
Çiftçiler Uzun Süreli Kuraklıklara Uyum Sağlayabilecek mi?. Avrupa'nın büyük kesiminde geçtiğimiz mayıs ayı ortalamadan çok daha kuru geçti. Geçtiğimiz mayıs...
WSPA, hayvanların özgürlüğü için uğraş veren bir kuruluşun kısaltmasıdır. World Society for the Protection of Animals
Wuchereria Bancrofti, mikrofilerleri dolaşım kanında bulunan Culex cinsi sivrisineklerle taşınan enfekte bireylerde elefantiyazis (fil ayaklılık) lenfanjinitis ve şilüre gibi belirtilere...
Kaba yemi özellikle süt sığırcılığındaki önemi bilinmektedir. Ülkemizde henüz selüloz kavramı tam anlaşılamamış olmasına rağmen, bundan böyle kaba yem kalitesine...
© 2025 VetRehberi.com – 12.12.2016
Beşeri hekimlik insan içinse Veteriner Hekimlik insanlık içindir...