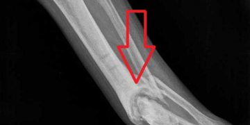
Yalancı Eklem, kırıkta hareketsizliğin sağlanamaması nedeniyle kırık uçlarının fibrokartilaj yapıda sert bir tabakayla örtülmesi ve kaynamanın olmayıp kırık uçlarının sanki ...
Read moreDetailsVetRehberi, Veteriner Hekimlik mesleği, hayvan sağlığı, hayvan hastalıkları, hayvan beslenmesi, hayvan ırkları, ebooks, sözlük, veteriner ilaçlar, yaban hayatı hakkında içerik yayınlayan ve soru-cevap ile hayvanlarınızın sorunlarına cevap veren bilgi platformudur.
