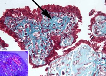
Yavru Zarlarında Metaplastik Kemikleşme Nedir?
Yavru Zarlarında Metaplastik Kemikleşme, yavru zarlarındaki hücre metaplazisinden kaynaklanan çekirdekli osteoklastik tipte hücreler içeren, genellikle domuzlarda görülen kemikleşmedir. Metaplastic placental...









