Ülkemizdeki Holstein Irkı İnekler
Ülkemizdeki Holstein Irkı İnekler. Sperma satışlarımızın bir kısmını çiftliğe özel boğa seçmek suretiyle yapıyoruz. Eğer ineklerin pedigri kayıtları varsa, bu...
Ülkemizdeki Holstein Irkı İnekler. Sperma satışlarımızın bir kısmını çiftliğe özel boğa seçmek suretiyle yapıyoruz. Eğer ineklerin pedigri kayıtları varsa, bu...
Hayvan hakları eğitimi, bu kitap, insan dışındaki hayvanların etik muamele ve statüsünün pedagojiyi, öğretmeyi ve öğrenmeyi genel olarak nasıl etkilediğini,...
Maxi-vit 9 Enjeksiyonluk Çözelti Veteriner Vitamin BİLEŞİMİ Maxi-vit 9 Enjeksiyonluk Çözelti; berrak sarı renkli enjeksiyonluk çözelti halinde olup her ml’sinde;...
Yaşama Payı Yemlemesi, verimde olmayan ve dinlenmedeki hayvanın normal vücut sıcaklığını, vücut işlevlerini koruma ve sürdürmeye, protein, mineraller, vitaminler, belirli...
Üç gün hastalığı, Dünya’da en çok Avustralya ve Afrika’da görülen bu hastalık ülkemizde de Güney ve Güneydoğu illerimizde görülüyor. Hastalığa...
Max-til 300 Enjeksiyonluk Çözelti Veteriner Sistemik Antibakteriyel Bileşimi Max-til 300; ml’de 300 mg Tilmikosin baza eşdeğerde Tilmikosin fosfat içeren; berrak,...
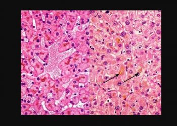
Yaşlanma Pigmenti, otofagositoz yoluyla lizozomlara alınan hücre organellerinin zarlarından köken alan doymamış yağ asitlerinin peroksidasyonu ve polimerizasyonu sonucu lizozomlarda oluşan,...
Veteriner hekimlikte otovaksin (Özaşı) uygulamaları. Özaşı (otovaksin, otojen aşı, autovaccine) uygulamaları veteriner hekimlikte 13 Haziran 2010 tarihinde Resmi Gazetede yayınlanan...
Glikokortikoid Grubu Hormonlar 5 ana başlık altında anlacağım. Süt Verimi ve Yangı Üzerine Etkileri Yangı gidericiler ve Glikokortikoid ilaçlar uzun...
Yaşlı Köpek Ensefalitisi, kronik ilerleyici dairesel ve sallantılı yürüyüş, körlük, zihinsel bozukluklarla belirgin, orta yaşı geçmiş köpeklerde daha yaygın olarak...
© 2025 VetRehberi.com – 12.12.2016
Beşeri hekimlik insan içinse Veteriner Hekimlik insanlık içindir...