İneklerde Yumurtalık Sorunları
İneklerde yumurtalık sorunları. Sütçü sığır işletmelerinin en büyük dertleri arasında sayılan döl tutmama ile ilgili olarak yumurtalıklardan kaynaklanan sorunları ele...
İneklerde yumurtalık sorunları. Sütçü sığır işletmelerinin en büyük dertleri arasında sayılan döl tutmama ile ilgili olarak yumurtalıklardan kaynaklanan sorunları ele...
Orta Zincirli Yağ Asitleri ve Antimikrobiyal Dirençle Mücadele. Antimikrobiyal direnç (AMD) riskini azaltabilmek amacıyla kümes hayvancılığında antibiyotik kullanımını kısıtlamak için...
Döl kayıplarının önlenmesi. Bir süt ineğinden her yıl bir yavru alınması istenir. ideal olan ineklerin doğumdan iki ay sonra tekrar...
Üçüncü Tarım ve Orman Şurası 15 yıl aradan sonra Ankara’da toplandı ve alınan kararlar Cumhurbaşkanı tarafından okunan 60 maddelik bir...
Rispoval IntraNasal RS+Pİ3Enjeksiyonluk süspansiyon içerisinde sulandırılan liyofilize aşı Sadece Hayvan Sağlığında Kullanır Bileşimi: Liyofilize kısım ısıya duyarlı modifiye canlı Parainfluenza...
Üreme hormonları. Organizmanın tüm yaşamsal işlevleri gibi üreme tanımı içinde yer alan olgular da çokluk hormonların etkisi altında şekillenmektedir. Konumuzu...
Aşı ve anticoccidial rotasyonu ile coccidiosisin maksimum kontrolü. Uzun zamandan beri anticoccidial yem katkıları kullanılarak coccidiosis ile savaşılmaktadır. Bu katkı maddeleri...
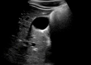
Yan Gölgelenme Artefaktı, ultrasonografide safra ve idrar torbası gibi içi sıvı dolu yapıların yan taraflarında görülen ve aşağıya doğru uzayabilen...
Sığırcılıkta ihtisas çiftlikleri. ABD’de her konuda olduğu gibi uzmanlaşma, branşlaşma hayvancılık işletmelerinde de gayet yaygındır. Sığırcılık işletmeleri branşlarına ve uzmanlık...
Döl verimin fizyolojisi. Üreme fizyolojisinin temellerinin iyi bilinmesi özellikle ineklerdeki infertilite sorununun teşhisi ve sağıtımı açısından çok önemlidir. Başta follikül...
© 2026 VetRehberi.com – 12.12.2016
Beşeri hekimlik insan içinse Veteriner Hekimlik insanlık içindir...