Mastitis Kontrolünde Kritik Noktalar (CHECK-LİST)
Mastitis Kontrolünde Kritik Noktalar (CHECK-LİST) 1- Tank sütünde SHS (Somatik Hücre Sayısı) kaçtır ?2- Aylık Klinik Mastitis oranı kaçtır ? (%)3- İklim nasıldır...
Mastitis Kontrolünde Kritik Noktalar (CHECK-LİST) 1- Tank sütünde SHS (Somatik Hücre Sayısı) kaçtır ?2- Aylık Klinik Mastitis oranı kaçtır ? (%)3- İklim nasıldır...
Yağ Bezi, dermis içinde bulunan ve deri yağı adı verilen salgısını kıl foliküllerine akıtanderinin ve kılların yağlayıcısı olan deri bezine...
Yağ Bezi Adenomu, yağ bezinden köken alan iyicil tümör, sebaseöz adenomuna denir. Özellikle yaşlı köpeklerin derisinde ve göz kapağında Meiboman...
Moksidif LA Enjeksiyonluk Süspansiyon Veteriner Sistemik Antibakteriyel Sadece Hayvan Sağlığında Kullanılır BİLEŞİMİ: Moksidif LA, bej-krem renkli bir süspansiyon olup her...
Boğa istemeyen inek, ineklerin doğum yaptıktan sonra tekrar kızgınlık göstermemesi yetiştiricilerin en büyük sorunlarından biridir. Bu duruma ‘’anöstrus’’ adını veriyoruz. Anöstrus boşta...
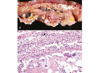
Yağ Bezi Kisti, yağ bezlerinin ağız veya kanallarının, herhangi bir biçimde tıkanmasıyla oluşan, yağ ve kolesterol yarıkları içeren keseye denir....
Mandalarda suni dölleme, ülkemizde kırk yıl önce 1 milyon 250 bin baş olan manda sayısı yüz bin başa kadar düşmüştür....
Enzootik Pnomöni sığır işletmelerinde buzağı ishallerinden sonra, buzağılar arasında Ölüm oranının en yüksek olduğu ve büyük ekonomik kayıplara neden olan...
Merada süt sığırcılığı düzeni bir olanak ve tercih konusudur. Meranın ıslah edilmiş olması, doğal olarak, çok önemlidir. İneklerin memelerine zarar verebilecek diken,...
Yağ Bezleri Yangısı, yağ bezleirnin irinli veya granülomlu yangısına denir. Köpek ve kedilerde genellikle bilinmeyen nedenlerle oluşur ve geç dönemlerde...
© 2026 VetRehberi.com – 12.12.2016
Beşeri hekimlik insan içinse Veteriner Hekimlik insanlık içindir...