Kuzularda Zatürre (Pneumoni)
Kuzularda zatürre, kuzu ve toklularda soluk alma güçlüğü, hızlı soluma, efor sonrası öksürük, durgunluk, ağırlık kaybı, yüksek ateş, iştahsızlık, yatar...
Kuzularda zatürre, kuzu ve toklularda soluk alma güçlüğü, hızlı soluma, efor sonrası öksürük, durgunluk, ağırlık kaybı, yüksek ateş, iştahsızlık, yatar...
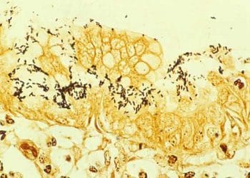
Warthin-Starry Gümüş Boyası, Bartonella ve spiroketlerin boyanmasında kullanılan, yaymalarda ve doku kesitlerine uygulanan boyama yöntemine denir. Warthin-Starry Silver Stain
Rimadyl XL Enjeksiyonluk Çözelti Veteriner Non-steroid Antienflamatuvar Sadece hayvan sağlığında kullanılır Bileşimi: Rimadyl XL, berrak, uçuk saman sarısı renginde, steril,...
İstiklal Savaşı Gazisi Bir Askeri Veteriner Hekim Dr. Mehmet Turgut Argun, Değerli meslektaşlarım, en son olarak sizlere Türkiye’de askeri veteriner...
Köpeklerin yaşı nasıl hesaplanır? her evcil köpek sahibinin merak ettiği ama tam olarak ulaşamadığı bir bilgidir. Köpek yaşı hesaplama aracı...
Pathozone 100 Meme içi süspansiyon Veteriner Laktasyon Dönemi Meme İçi Antibakteriyel Sadece hayvan sağlığında kullanır Bileşimi: Pathozone 100 Meme içi...
Köpeklerde tüy dökülmesi neden olur? sorusu her evcil köpek sahibinin aklına gelen ve merak edilen bir sorudur. Köpeklerde bölgesel tüy...
Waterhouse-Friderichsen Sendromu, insanlarda ve septisemik buzağılarda, ateş, böbrek üstü bezinde deride ve müköz zarlarda peteşiyal kanama siyanoz ve peteşiyal kanamalarla...
Primamycin LA Enjeksiyonluk Çözelti Veteriner Sistemik Antibakteriyel Sadece Hayvan Sağlığında Kullanır Bileşimi: Primamycin LA Enjeksiyonluk Çözelti her ml'sinde magnezyum kompleksi...
Panvit AD3E Enjeksiyonluk Çözelti Veteriner Vitamin Sadece Hayvan Sağlığında Kullanılır Bileşimi: Panvit AD3E her ml'sinde 500,000 IU Vitamin A (propiyonat...
© 2025 VetRehberi.com – 12.12.2016
Beşeri hekimlik insan içinse Veteriner Hekimlik insanlık içindir...