Vitreum Nedir?
Vitreum, camsı, cam gibi anlamında kullanılan terimdir.
Read moreDetailsAna Sayfa » Vet » Veteriner Sözlük » Sayfa 83
Vitreum, camsı, cam gibi anlamında kullanılan terimdir.
Read moreDetailsVitreus Hümor, gözde yuvanının arka odasında bulunan saydam, jelatin kıvamındaki maddeye denir. Humor vitreus, Camsı sıvı
Read moreDetailsVitreus Paresentezi, iğneyle vitreus içine girilerek bir miktar sıvı emilmesine denir. Vitreal paracentesis, hyalocentesis
Read moreDetailsVitreus Prolapsusu, vitreusun gözün ön kısmına veya gözdeki yırtılmaya bağlı olarak dış ortama sızmasına denir. Vitreal prolapse
Read moreDetailsVitrifikasyon, camlaştırma anlamına gelen kelimedir. Vitrification
Read moreDetailsVitritis, gözde hiyaloit zarın veya vitreus cisimciğin yangısına denir. Hiyalitis
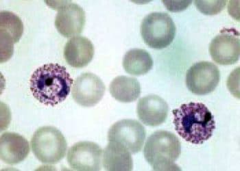
Read moreDetailsVivaks Malarya, Plasmodiu vivax 'ın neden olduğu, ateş nöbetlerinin iki günde bir görüldüğü sıtmanın en hafif biçimine denir. İyicil günaşırı...
Read moreDetailsVivipar, anne vücudu içerisinde yumurtalar yerine yaşayan gençlerin üretilmesine denir. Diğer bir ifade ile Trichinella spiralis gibi kimi nematotların dişileri...
Read moreDetailsViviparite, canlı larva doğurabilme niteliğine değir. Diğer bir anlam olarak da yumurtlamayan yavru doğuran canlıya denir. Viviparity
Read moreDetailsViviparöz, maternal organizmadan beslenmiş canlı yavrular meydana getirmeye denir. viviparous
Read moreDetails© 2026 VetRehberi.com – 12.12.2016
Beşeri hekimlik insan içinse Veteriner Hekimlik insanlık içindir...