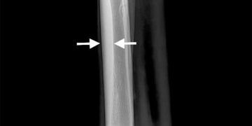
Yarış Atlarında Dorsal Metakarpal Hastalık, Metakarpal hastalığın diğer isimlendirilmesidir. Dorsal metacarpal disease in race horse
Read moreDetailsVetRehberi, Veteriner Hekimlik mesleği, hayvan sağlığı, hayvan hastalıkları, hayvan beslenmesi, hayvan ırkları, ebooks, sözlük, veteriner ilaçlar, yaban hayatı hakkında içerik yayınlayan ve soru-cevap ile hayvanlarınızın sorunlarına cevap veren bilgi platformudur.
