Yıkımlanamayan Protein Tüketimi Nedir?
Yıkımlanamayan Protein Tüketimi, genellikle by pass protein olarak adlandırılan, sindirilen proteinin işkembede yıkımlanmasından kaçan ve şirden ve ince bağırsakta sindirilen kısmı.
Yıkımlanamayan Protein Tüketimi, genellikle by pass protein olarak adlandırılan, sindirilen proteinin işkembede yıkımlanmasından kaçan ve şirden ve ince bağırsakta sindirilen kısmı.
Yılan Zehirlenmesi, zehirli yılanların sokmasıyla oluşan, birinci derecede kalp-damar, solunum ve merkezi sinir sistemini etkileyerek hayvanlarda ısırılan yer ve yerel...
Yılan Zehri, kas-sinir iletisini ve kalp uyarım sistemini bloke ederek ölüme neden olan 30'un üzerinde peptit karışımından oluşan zehirli madde.
Rotavirus ve Coronavirus Enfeksiyonlarına Karşı Aşı Uygulamaları ayrı ayrı değerlendirme adına başlıklar halinde bahsedelim. Rotavirus Enfeksiyonlarına Karşı Aşı Uygulamaları Rotavirusların...
Yılancık, Erysipelothrix rhusiopathiae ile oluşan bakteriyel enfeksiyon, erizipel.Sığır ve koyunlarda, seyrek olarak arthritis, endokarditis, laminitis veya sistemik enfeksiyonlar biçimlenir.Domuzlarda septisemiyle...
Bakanlıktan PPR hastalığına ilişkin açıklama. Tarım ve Orman Bakanlığından yapılan açıklamada, Bulgaristan'ın Burgaz bölgesindeki küçükbaş hayvanlarda PPR hastalığı tespit edilmesi üzerine ortaya...
Yıldırım Figürleri, yıldırım çarpmasında oluşan, yüksek gerilimli elektriğin temas ettiği deri bölgelerinde ağaç dallarına benzer görünümde, epidermisin dermisten ayrılması sonucu...
Buzağı sağlığı ile ilgili sektörler. Buzağıların sağlığı, doğal olarak, öncelikle sahiplerini ilgilendirir. Ancak; "Buzağılar ölmesin" dediğimizde birçok sektör bu konuda işin...
izmineraller küçük miktarlarda büyük yararlar sağlayan 7 adet minerale verilen isimdir. Çinko, bakır, manganez, kobalt, demir, selenyum ve iyot'a mikromineraller,...
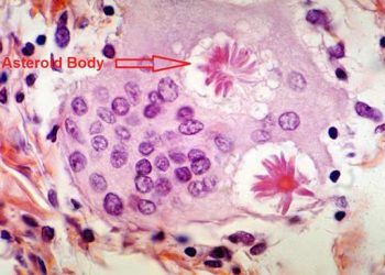
Yıldızsı Cisimcik, kimi bakteriyel ve mantar hastalıklardaki yangıyla ilgili olaylarda antijen-antikor tepkimesi sonucu oluşan ve hücre dışında biriken eozinofilik kitle....
© 2025 VetRehberi.com – 12.12.2016
Beşeri hekimlik insan içinse Veteriner Hekimlik insanlık içindir...