Kedilerde Hiperkalsemi
Kedilerde Hiperkalsemi tanısı iki kan testine dayanır: total serum kalsiyum düzeyi ve iyonize kalsiyum düzeyi (iCa). Toplam serum kalsiyum düzeyini...
Kedilerde Hiperkalsemi tanısı iki kan testine dayanır: total serum kalsiyum düzeyi ve iyonize kalsiyum düzeyi (iCa). Toplam serum kalsiyum düzeyini...
Hayvan Hakları Evrensel Bildirgesi, 15 Ekim 1978 tarihinde Paristeki UNESCO Merkezinde törenle ilan edilmiştir. Bu metin, 1989 yılında Hayvan Hakları...
Oksitosin Agonistleri ve Antagonistleri Oksitosin Agonistleri Oksitosin Agonistleri, peptit yapıda olan karbetosin, demoksitosin, peptit olmayan TC OT 39 ve WAY-267, 464...
BSAVA Köpek ve Kedi Davranış Tıbbı El Kitabı, hayvan davranışının ve psikolojik iyi oluşun önemi, veterinerlik mesleğinde giderek daha fazla tanınmaktadır....
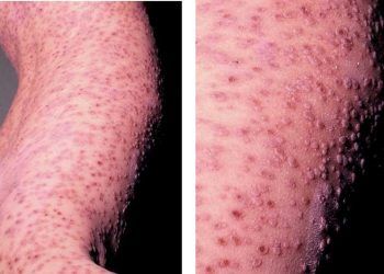
Batı Nil Virüsü (BNV), ateş, farenjit, kas ve eklem ağrıları, ekzantem ve lenfadenopati ile özellik gösteren bir virüs hastalığıdır. Yaşlılarda...
Ekzantem, tüm vücutta veya vücudun bir kısmında yüzeysel, tekdüze yayılan, aniden kendiliğinden oluşan ve geriye belirgin deri değişiklikleri bırakmadan tekrar...
Oksitosinin uterus üzerindeki kasılmalarını durduran tokolitik ajanlar, uterus kontraksiyonlarını engelleyerek doğumun ertelenmesini sağlamaktadırlar. Böylece, gece doğumları gözlemek sorunu ortadan kaldırılabilir....
BSAVA Köpek ve Kedi Endokrinoloji Kılavuzu, 4. Baskı, 2004'teki üçüncü baskının yayınlanmasından bu yana önemli gelişmeler olmuştur. Kedi akromegali ve hiperaldosteronizm...
Yerli Kara Sığırı, Türkiye'nin Orta Anadolu bölgesinden köken alan, siyah renkli, küçük yapılı, başı dar ve uzun, boynuzları kısa, ince ve...
Buzağılarda süte alternatif besleme de birçok metodlar var. Yazımızda tüm metodlardan değil ama 3 yöntem üzerinde duracağız. Bu yöntemlerden Yapay süt, Krema...
© 2025 VetRehberi.com – 12.12.2016
Beşeri hekimlik insan içinse Veteriner Hekimlik insanlık içindir...