Egzotik Hayvan Laboratuvar Tanısı
Egzotik Hayvan Laboratuvar Tanısı, çok çeşitli egzotik türlerde teşhis testleri için pratik, kullanıcı dostu bir kılavuzdur. Özellikleri Egzotik hayvanlarda numune...
Egzotik Hayvan Laboratuvar Tanısı, çok çeşitli egzotik türlerde teşhis testleri için pratik, kullanıcı dostu bir kılavuzdur. Özellikleri Egzotik hayvanlarda numune...
Vet-Yzoxytetra Enjeksiyonluk Çözelti Veteriner Sistemik Antibakteriyel Sadece Hayvan Sağlığında Kullanılır Bileşimi: 1 ml 'sinde 50 mg Oxytetracycline baza eşdeğer 59...
Bovikalc Diyetik Tamamlayıcı Mineral Yem Süt humması riskinin azaltılması amacıyla Süt İnekleri İçin Bovikalc doğum sonrası hipokalsemi riski olan ineklerde...
Yalancı Ayak, özellikle amip benzeri bir hücreli hayvanlarda ve fagositoz yapan hücrelerde geçici sitoplazma uzantılarıdır. Bu uzantılar kimi protozoonlarda hareket...
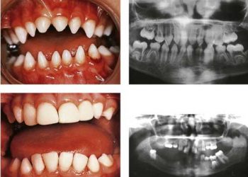
Yalancı Az Dişilik, embriyonal dönemde normal olarak gelişen kimi dişlerin alveoler kemik içinde gömülü kalması ve diş sayısında görünüşte bir...
Zootekni Veteriner Hekimlerin İşi Değil mi?. Türkiye’de 1933 yılında İstanbul Üniversitesinden sonra ikinci yüksek öğretim kurumu olan Yüksek Ziraat Enstitüsü...
Evcil Kuşların Beslenmesi; Yem Değişikliği, Sağlıklı Beslenme Programına Geçiş, bilindiği üzere kuşların sağlıklı ve aktif olamaları için dengeli, sağlıklı gıdalarla...
Sığırlarda Kanlı Bağırsak Hastalığı / Sendromu (HBS=Hemorrhagic Bowel Syndrome), Jejunal hemorrhage syndrome (JHS) veya Ölü Bağırsak olarak adlandırılmaktadır. Hemorajik bağırsak...
Veteriner Klinik Epidemiyolojisi: Hastadan Nüfusa, 4.Baskı. Veteriner öğrencileri, sakinleri ve klinisyenleri için ideal olan bu çok satan ders kitabının dördüncü...
Kedi tırmalama hastalığı (Cat Scratch Disease - CSD), etkeni Bartonella henselae olup küçük, gram (-) yapıya sahip olan bakteri, bulaştığı...
© 2025 VetRehberi.com – 12.12.2016
Beşeri hekimlik insan içinse Veteriner Hekimlik insanlık içindir...