Villi Koryalis Nedir?
Villi Koryalis, koryonun döl yatağı mukozasında gönderdiği maternal fetal kan değişimini sağlayan koryon zarının dış yüzeyindeki mikroskobik parmak biçiminde olmak...
Villi Koryalis, koryonun döl yatağı mukozasında gönderdiği maternal fetal kan değişimini sağlayan koryon zarının dış yüzeyindeki mikroskobik parmak biçiminde olmak...
Koyunlarda tüy çekme (yün yolma, yün yeme) bazı sürülerde önemli sorunlardan biri olarak karşımıza çıkmaktadır. Koyunlarda tüy çekme çoğunlukla dişilerde...
Çiftlik hayvanlarında hırıltılı solunum birçok problemin belirtisi olarak ortaya çıkar. Bu tarz soluma bazen “ıslık çalma” bazen de “horlama” olarak...
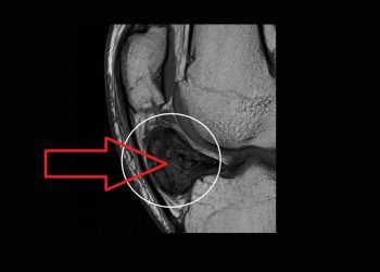
Villonodüler Sinovitis, sinovyal doku üremesi dev hücre ve mononükleer hücre infiltrasyonuyla belirgin bir şekilde oluşan sinovya zarının yangısına denir. Çoğunlukla...
Villöz Plasenta, koryondaki villusların aşırı biçimde gelişmesiyle belirgin plasenta biçimine denir. Villous placenta
Villus Atrofisi, bağırsaklarda villuslarında uzunluğunun kısalmasına nedir. Bakteriyel, viral, paraziter ve alerjik bağırsak yangılarıyla sindirim kanalı lenfosarkomlarında rastlanır ve emilim...
Ceftivil Enjeksiyonluk süspansiyon Veteriner Sistemik Antibakteriyel Sadece Hayvan Sağlığında Kullanılır BİLEŞİMİ: Ceftivil Enjeksiyonluk Süspansiyon, çalkalandığında beyaz renkli, kullanıma hazır, steril...
Villus, sarkan saç veya püskül, kıl demeti, kılsı çıkıntı, parmak biçimindeki küçük çıkıntılara denir.
Vilyot Alev Sırtlı Sülünü, Malezya'dan Tayland'a kadar yayılma alanı olan, yarı tropikal ormanlarda yaşayan sülün ırkına denir. Vieillot's Fireback Pheasant
Maxisilin LA Enjeksiyonluk süspansiyon Veteriner Sistemik Antibakteriyel Sadece Hayvan Sağlığında Kullanılır BİLEŞİMİ: Maxisilin LA, beyaz-kirli beyaz renkte Enjeksiyonluk Süspansiyon olup,...
© 2025 VetRehberi.com – 12.12.2016
Beşeri hekimlik insan içinse Veteriner Hekimlik insanlık içindir...