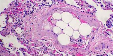
Yağ Embolisi, uzun kemiklerin travmatik kırıklarından, yağ dokusunda travma, kemik ve yağ dokusunun ameliyatlarından sonra yağ küreciklerinden oluşan tıkaca denir. ...
Read moreDetailsVetRehberi, Veteriner Hekimlik mesleği, hayvan sağlığı, hayvan hastalıkları, hayvan beslenmesi, hayvan ırkları, ebooks, sözlük, veteriner ilaçlar, yaban hayatı hakkında içerik yayınlayan ve soru-cevap ile hayvanlarınızın sorunlarına cevap veren bilgi platformudur.
