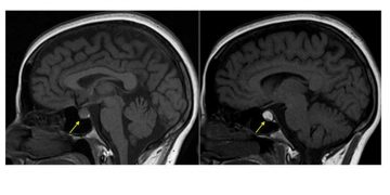
Apopleksi, beyin damarlarından birinde ani yırtılma sonucu veya tıkanma sonucu gelişen bilinç kaybı ve felç oluşumuyla belirgin tabloya denir. Apoplexy
Read moreDetails![]()
VetRehberi, Veteriner Hekimlik mesleği, hayvan sağlığı, hayvan hastalıkları, hayvan beslenmesi, hayvan ırkları, ebooks, sözlük, veteriner ilaçlar, yaban hayatı hakkında içerik yayınlayan ve soru-cevap ile hayvanlarınızın sorunlarına cevap veren bilgi platformudur.
